
Attention, ce truc peut vous faire perdre votre crédibilité très rapidement !
Joie et félicité, je passe officiellement en DCEM2 ! Par contre, cette journée au bloc m'a appris une chose capitale : ne jamais trop serrer sa bavette, sous peine de défaillir vitesse grand V de par le manque d'oxygène. Ça m'est arrivé en plein milieu d'une PTG avec le Dr Flu. 1er K.O. : on prend un peu l'air et j'y retourne. Malheureusement, comme en boxe, les chances de se relever sont quasi-nulles : je tourne de l'œil quasiment cinq minutes après être revenu. Quelle classe...
Une élève IBODE qui a pris pitié de moi a eu la gentillesse de me donner du sucre et de l'eau. Je ne vous raconte pas la honte que j'ai ressenti... Cependant, une fois sorti de l'intervention, Flu n'en a pas fait grand cas, il a dû en voir d'autre... [NDL : sauf qu'il n'a pas arrêté de me charrier depuis, mais c'est de bonne guerre !]
Lors de la deuxième PTG, qui fut la première auquelle j'ai pu assister en intégralité, tout s'est bien passé. A part, peut-être le mal de dos après avoir tenu des écarteurs de Farabeuf sur une table trop basse... Mais bon, le Dr Rd. a tellement bourriné qu'on a fini rapidement.
Le 21 septembre 2010 :
Aujourd'hui, chirurgie du pied avec un spécialiste de passage, le Dr Piat. Ostéotomie de l'avant du pied suite à un hallux valgus. A peine je m'habille, qu'il a déjà terminé. Bon.
Le patient suivant met une plombe à descendre, je préfère m'en aller ni vu ni connu...
Le 23 septembre 2010 :
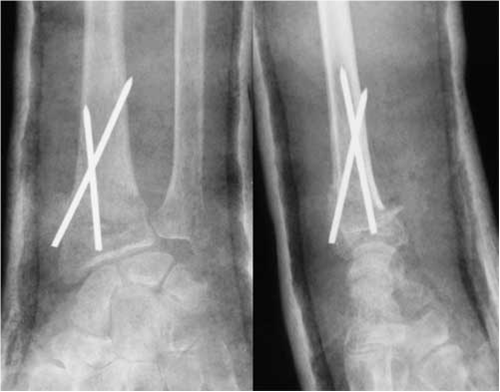
Aujourd'hui, cours sur les fractures de l'extrémité inférieure du radius. Retenez juste qu'elles touchent surtout les femmes ostéoporotiques et les jeunes hommes (AVP). Si ça ne bouge pas trop, on plâtre ; si ça ressemble à un puzzle, on réduit puis on ostéosynthèse avec quelques broches. Voilà, vous savez tout...
Petite semaine, je le confesse... Pour compenser, demain, je vous narre ma seconde garde ! D'ici là, portez-vous bien...