Bonjour à vous !
Aujourd'hui, j'aimerais vous narrer, comme prévu dans mon introduction, ma palpitante et exaltante vie quotidienne d'externe. Et quoi de mieux pour cela que de commencer par la semaine de ma rentrée !
Mais avant, petite précision : étant donné que le service possède moins de salles de bloc que d'externes, un roulement de ces derniers a été instauré, d'où la semaine de cinq jours qui se transforme en trois. On ne s'en plaindra pas...
Le 7 septembre 2010 :
Après une semaine exténuante au rythme de mes différents rattrapages de DCEM1, me voilà enfin à Mondor, dans le service d'orthopédie, pour mon premier jour en tant qu'externe. Espérons qu'il y en ait d'autres, vu que je ne suis pas encore certain d'être en DCEM2... M'enfin bon. On verra.
Stage de chirurgie, horaires de chirurgie : lever à 6 heures (un jour de grève, mieux vaut ne pas tenter le diable) pour un staff à 7h45 ; c'est violent pour un lève-tard tel que moi...
Un chef de clinique m'interpelle pour m'interroger sur le pourquoi de mes absences, mais je lui ai vite fait comprendre que les rattrapages passaient logiquement devant ma présence dans le service. En effet, le début des stages coïncidait avec le début des rattrapages. Oui, elle est impressionnante d'organisation, ma faculté...
Ensuite, le staff démarre ; assis dans un coin de la salle, je fais connaissance et discute avec mes co-externes. En une demi-heure, c'est plié. L'un d'entre eux m'indique le code des vestiaires et me voilà au milieu du labyrinthe qu'est l'étage des blocs chirurgicaux de l'hôpital.
D. (pas de noms ? pas de problème !), l'un des deux internes que j'assiste en ce jour, me presse pour qu'on se rende au plus vite au bloc ; malheureusement, l'anesthésiste étant dans la nature, nous sommes contraints d'attendre son retour dans la salle de repos des chirurgiens orthopédiques. Le temps de faire connaissance avec le duo qui m'accompagnait. H. est un étudiant en chirurgie japonais venu perfectionner son art sous nos latitudes ; il a étudié quelques temps à Dublin et a appris le français en un temps record. Quant à D., c'est un ancien médecin généraliste, qui, après plusieurs années, insatisfait de sa pratique, a retenté l'ECN avec succès.
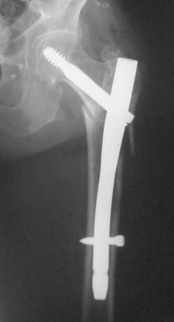
Quelques coups de téléphone plus tard, nous rejoignons le praticien hospitalier à temps plein pour commencer l'opération de pose de clou gamma sur une patiente octogénaire atteinte d'Alzheimer, qui s'est fracturée la région sous trochantérienne... sur son ancien clou gamma.

Ostéosynthèse d'une fracture trochanterodiaphysaire avec un clou gamma.
Cependant, une étape obligatoire et nécessaire avant d'entrer dans le fameux bloc opératoire : la stérilisation des mimines et l'enfilage de la tenue du parfait petit chirurgien, c'est-à-dire la casaque et la double couche de gants stériles. La dernière fois que j'avais mis des gants stériles remonte à la fin de mon année de PCEM1, lors de mon stage infirmier de sinistre mémoire (je vous raconterai ce traumatisme un autre jour si j'ai assez de courage). Cela fait très longtemps que je ne m'étais pas senti autant ignorant. C'est normal pour une première fois au bloc, mais qu'est-ce que c'est humiliant sur le moment...
L'opération commence aux alentours de 9h ; vers 11 heures, les effets cumulés du tablier de plomb (pour nous protéger des rayons de l'appareil de radiographie mobile qui nous permet d'avoir une meilleure vue de l'intervention) et du masque chirurgical trop serré qui m'étouffe [NDLush : erreur que je fais sans arrêt...] me poussent à prendre une petite pause. Une fois revenu, je constate que l'opération ne se déroule pas tout à fait comme prévu : D. a raté son vissage et bataille pour récupérer le bout de métal, perdu quelque part dans la cuisse ; le PH ne faisait que montrer son agacement et j'ai senti l'air ambient être enveloppé dans un sentiment de détresse intense. Le type de moment de solitude qui renforce mon non-choix de la chirurgie.
Finalement, le PH finit par prendre les commandes et rattrape le c(l)oup (hahaha ! hm...). Quelques points de suture, et hop, au suivant. Je peux enfin partir, non sans oublier ma montre dans la salle et me perdre une énième fois dans les couloirs. Ça ira mieux demain... [NDL : y'avait intérêt, vu que j'ai attendu le métro une heure pour rentrer ce jour-là !]
Le 8 septembre 2010 :
Rien de particulier ce jour-là. A part une petite passe d'arme entre chirurgiens à propos d'une technique qui nécessite une vis à un endroit ou à un autre (c'est vous dire comme j'ai suivi), à base d'arguments de haute volée, du style : « mais c'est pas sûr à 100% », « mais si ! », « je te dis que non ! », « c'est ce qui fait la différence entre un bon et mauvais chirurgien », « eh, mais faut arrêter de dire n'importe quoi !! ». Bref...
Le PH à temps partiel nous a fait un petit discours nous incitant à nous investir dans ce stage et de ne pas partir comme des voleurs une fois le stage fini. Message reçu [NDL : c'est ce que je disais avant de me rendre compte que pour eux investissement = rester plus tard que 13h...] !Visite express et je laisse Morgane (les noms des co-externes, je peux) avec le PH pour aller en consultation.
Rideau pour aujourd'hui.
Le 9 septembre 2010 :
Bon, j'ai eu un cours sur l'utilisation des anticoagulants en orthopédie, pas sûr que ça vous passionne... Quoi ? Au moins une explication ? Bon, j'essaie. Et ça me permettra de revoir le tout...
Si vous êtes opéré du membre inférieur, du bassin ou de la hanche ; si vous avez le membre inférieur immobilisé dans du plâtre ; si on vous a opéré avec un garrot, dès que vous restez alité un certain temps...
C'est dans les cas présentés plus haut que votre risque de faire une thrombose veineuse profonde des membres inférieurs est le plus important. La thrombose elle-même n'est pas le plus problématique. Le danger est que ce thrombus peut migrer pour provoquer une embolie pulmonaire et ainsi l'arrêt cardio-respiratoire.
Avec des mesures simples telles que les jambes en position surélevée, la remise à la marche des patients dès que cela est possible, les bas de contention... Ainsi que le traitement anticoagulant, pendant toute la durée de l'immobilisation.
Après, je vous passe les détails des prescriptions, j'ai évoqué le plus important, je pense.
Et voilà. C'en est fini pour cette première semaine. A suivre...
En attendant, portez-vous bien !